高级搜索

PD-L1在结直肠癌原发灶中的表达及对肝转移微波消融术后复发的预测价值

Expression of PD-L1 in Primary Colorectal Cancer and Its Predictive Value for Recurrence After Microwave Ablation of Liver Metastases

  • 摘要:
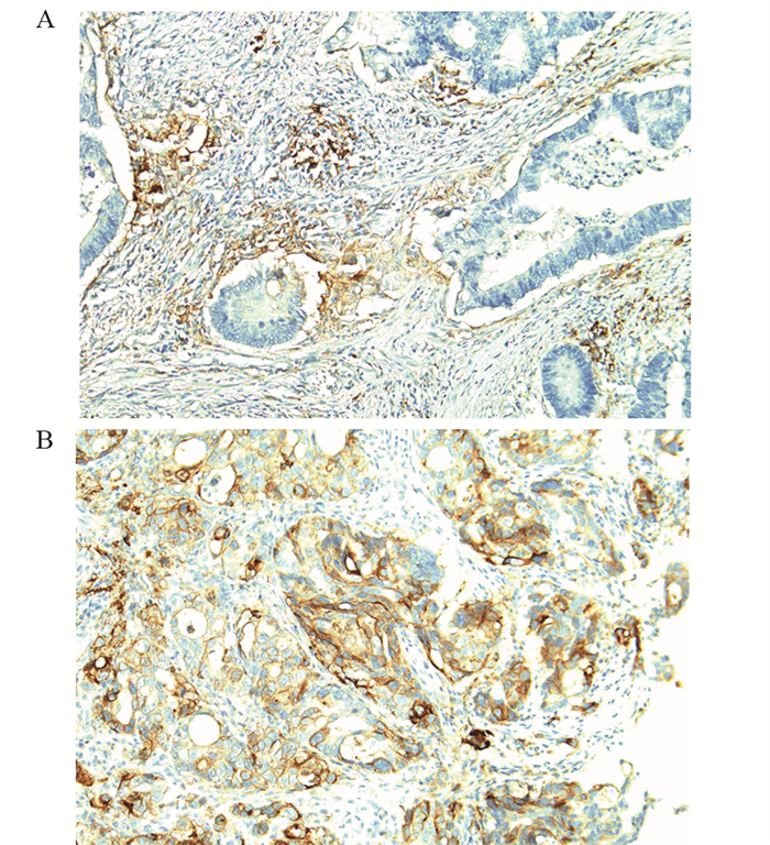
    目的 探讨程序性死亡配体1(PD-L1)在结直肠癌(CRC)肝转移患者原发灶肿瘤细胞(TC)和肿瘤浸润免疫细胞(TIC)中的表达情况,及其对肝转移微波消融(MWA)术后复发的预测价值。
    方法 回顾性收集28例CRC肝转移患者原发灶的石蜡包埋标本,采用免疫组织化学法检测其中PD-L1表达水平,分析其与临床特征的关系。Kaplan-Meier法和Log rank检验进行无复发生存(RFS)分析,Cox比例风险回归模型进行影响复发的多因素分析。
    结果 PD-L1在CRC原发灶TC和TIC中的阳性率分别为14.3%(4/28)和46.4%(13/28)。CRC肝转移患者原发灶TIC的PD-L1表达与肝转移瘤最大径有显著关联(P < 0.05),与肝转移MWA术后更差的RFS相关(P < 0.05)。CRC肝转移患者原发灶TIC的PD-L1表达、肝转移瘤最大径 > 3 cm是影响肝转移MWA术后复发的危险因素(P < 0.05)。
    结论 CRC肝转移患者原发灶TIC的PD-L1表达可能会增加肝转移MWA术后复发的风险。

     

    Abstract:
    Objective To investigate the expression of programmed death ligand 1(PD-L1) in primary tumor cells(TCs) and tumor-infiltrating immune cells(TICs) in patients with liver metastases from colorectal cancer(CRC) and determine its predictive value for recurrence after microwave ablation(MWA) of liver metastases.
    Methods The paraffin-embedded specimens of 28 patients with CRC liver metastasis were collected retrospectively. The expression of PD-L1 in the primary lesions was detected by immunohistochemistry, and the relationship between PD-L1 and clinical features was analyzed. Recurrence-free survival(RFS) was analyzed by Kaplan-Meier method and Log rank test. Cox proportional hazards regression model was used to analyze the factors influencing recurrence.
    Results The positive rates of PD-L1 in TCs and TICs in primary CRC were 14.3%(4/28) and 46.4%(13/28), respectively. PD-L1 expression in primary TICs of CRC patients with liver metastases was significantly correlated with the largest hepatic tumor diameter (P < 0.05). PD-L1 expression in primary TICs of CRC patients with liver metastasis was correlated with poor RFS after MWA (P < 0.05). PD-L1 expression in primary TICs and the largest hepatic tumor diameter > 3 cm in CRC patients with liver metastases were the risk factors for recurrence after MWA (P < 0.05).
    Conclusion PD-L1 expression in primary TICs of CRC patients with liver metastasis may increase the risk of recurrence after MWA for liver metastasis.

     

/

返回文章
返回