文章信息
- 齐晓薇,金琳芳,浦勇,冯静洁,刘彦魁,华东. 2015.
- QI Xiaowei, JIN Linfang, PU Yong, FENG Jingjie, LIU Yankui, HUA Dong. 2015.
- 结直肠癌中CXCR5、CXCL13、MMP-12和MMP-13的表达及意义
- Expression of CXCR5, CXCL13, MMP-12 and MMP-13 in Colorectal Cancer and Their Significance
- 肿瘤防治研究, 2015, 42(02): 159-163
- Cancer Research on Prevention and Treatment, 2015, 42(02): 159-163
- http://www.zlfzyj.com/CN/10.3971/j.issn.1000-8578.2015.02.013
-
文章历史
- 收稿日期:2013-10-08
- 修回日期:2014-08-07
2. 214062 无锡,江苏省无锡市第四人民医院肿瘤科
2. Department of Oncology, Wu Xi No.4 Hospital, Wuxi 214062, China
结直肠癌是我国高发的消化道恶性肿瘤之一,其病死率高[1],复发与转移仍然是大部分结直肠癌患者治疗中不可避免的结局[2, 3],是治疗的难点。许多研究表明趋化因子及其受体相互作用可以调节肿瘤血管形成、自分泌或旁分泌方式刺激肿瘤细胞增殖,控制肿瘤细胞运动等方式参与肿瘤的进展与侵袭、转移[4]。而肿瘤细胞与细胞外基质、基膜的相互作用是浸润转移的关键步骤[5],基质金属蛋白酶-12、-13(matrixmetalloproteinase-12、13,MMP-12、MMP-13)由肿瘤细胞和周围间质合成和分泌,通过降解细胞外基质和多种胶原蛋白,在肿瘤血管生成及促进肿瘤细胞的侵袭转移中发挥作用。
本研究拟对结直肠癌组织中CXCR5、CXCL13、MMP-12、MMP-13抗原表达及其相关性进行研究,探索其与临床病理参数的关系。探讨CXCR5/CXCL13生物轴在结直肠癌发生、发展中的作用及对MMP-12、MMP-13分泌的影响,进一步探讨结直肠癌浸润、转移机制。
1 资料与方法1.1 一般资料236例结直肠癌和相应的切缘正常肠黏膜组织标本(距癌组织边缘>5 cm)来自江苏省无锡市第四人民医院2004年3月—2007年3月手术切除并经病理证实的结直肠癌患者。另选取同期结直肠腺瘤62例。术前均未接受放疗、化疗及其他药物治疗。平均随访72月(60~96月)。标本用10%中性福尔马林固定。结直肠癌组男136例、女100例;年龄29~82岁,平均52.7岁;按照WHO的分类,管状及乳头状腺癌190例、其他(黏液腺癌、未分化癌及小细胞癌等)46例;根据淋巴结的检查结果判断肿瘤转移,其中有淋巴结转移129例、无淋巴结转移107例;根据AJCC的TNM分期进行结直肠癌的临床分期为Ⅰ~Ⅳ期。
1.2 主要试剂鼠抗人CXCR5单抗、山羊抗人CXCL13多抗、山羊抗人MMP-12多抗和山羊抗人MMP-13多抗购自美国R&D Systems公司;通用型SP免疫组织化学检测试剂盒、浓缩型DAB试剂盒购自基因科技上海有限公司。
1.3 免疫组织化学法检测将组织蜡块4 μm厚连续切片,采用常规二甲苯脱蜡,梯度酒精水化;行柠檬酸高压锅内修复抗原5 min;3%甲醇过氧化氢灭活内源性过氧化物酶15 min;鼠抗人CXCR5单抗(1:100),山羊抗人CXCL13多抗(1:100),山羊抗人MMP-12多抗(1:150)和山羊抗人MMP-13多抗(1:150)分别行免疫组织化学SP法检测(具体操作按照说明书进行)。同时设阳性和阴性对照;阳性对照为试剂公司提供的强阳性标本切片,阴性对照采用磷酸盐缓冲溶液(PBS)代替一抗。
1.4 免疫组织化学结果判断CXCR5、CXCL13、MMP-12和MMP-13免疫组织化学染色结果由两名副主任医师以上职称的医师分别判断得出。CXCR5、CXCL13、MMP-12和MMP-13免疫组织化学阳性着色为细胞膜和(或)细胞质呈棕褐色着色。随机计数10个高倍镜视野(×400),统计阳性细胞数及观察显色度,阳性强度用半定量法,按阳性细胞所占百分数评分:阳性细胞数<10%为0分,≥10%~50%者为1分,≥50%~75%为2分,≥75%者为3分;显色度评分:不着色为0分,浅黄色为1分,黄色为2分,棕褐色为3分;两者乘积作为免疫组织化学结果的判定标准,0分为阴性,1~4分为弱阳性,>4分为强阳性。结果观察采用盲法。
1.5 统计学方法所有数据均采用SPSS17. 0软件进行分析,计量资料采用t检验,组间比较采用χ2检验,相关性分析采用Spearson等级相关性分析,P<0.05为差异有统计学意义。
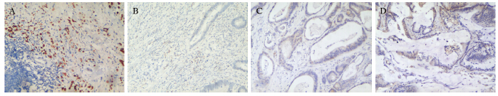
2 结果2.1 CXCR5、CXCL13、MMP-12和MMP-13在结直肠癌组织、切缘正常肠黏膜组织和结直肠腺瘤组织中的表达研究发现CXCR5、MMP-12和MMP-13阳性着色细胞主要为上皮细胞,见图 1。CXCR5、MMP-12和MMP-13在结直肠癌组织中阳性表达率分别为43.6%、83.5% 、80.5%,明显高于在切缘对照肠黏膜组织中的阳性表达率(4.2%、11.9%、13.1%)及在结直肠腺瘤中的阳性表达率(24.2%、69.4%、64.5%),差异有统计学意义(P<0.05)。而CXCL13主要着色于间质细胞,见图 1。CXCL13在原发性结直肠癌组织中阳性表达率为41.5%,明显高于在切缘正常肠黏膜组织中的阳性表达率5.5%及在结直肠腺瘤中的阳性表达率17.7%,差异有统计学意义(P<0.05)。CXCR5、CXCL13、 MMP-12、MMP-13在结直肠癌、切缘正常黏膜组织和结直肠腺瘤中的表达见表 1、表 2。
|
| A: CXCR5; B: CXCL13; C: MMP-12; D: MMP-13 图 1 结直肠癌组织中CXCR5、CXCL13、MMP-12、MMP-13的表达 (SP ×100) Figure 1 Positive expression of CXCR5,CXCL13,MMP-12 and MMP-13 in colorectal cancer tissues (SP×100) |
![]() |
![]() |
应用Pearson法分析显示CXCR5表达与MMP-12和MMP-13均呈正相关(r=0.. 2 0 8 、P=0.001; r=0.159、P=0.019),见表 3。CXCL13表达与MMP-12和MMP-13均呈正相关(r=0.167、P=0.010; r=0.132 、P=0.042),见表 4。
![]() |
![]() |
在236例结直肠癌组织中,C X C R 5 、CXCL13、MMP-12和MMP-13蛋白的表达与淋巴结转移、远处转移、肿瘤分期及复发相关(P<0.05)。CXCL13蛋白表达还与组织分化程度相关 (P<0.05)。CXCR5、CXCL13、MMP-12和MMP-13蛋白的表达与肿瘤瘤体大小、性别、年龄等无关(P >0.05),见表 5。
![]() |
CXCR5是趋化因子CXC族受体家族的一员,曾经被称为伯基特淋巴瘤受体1(Burkitt’s lymphomareceptor 1,BLR-1),主要分布在所有的外周成熟B细胞和少量的T细胞亚型上[5]。目前发现的CXCR5的唯一配体CXCL13被称为B细胞趋化因子(lymphocytechemoattractant,BLC),人类的CXCL13主要分布在肝脏(占近50%)、淋巴结等组织中。CXCR5/CXCL13不仅诱导、促进炎性反应,在多种肿瘤中亦存在CXCR5和(或) CXCL13的异常表达,可能在促进肿瘤发生发展方面起着重要的作用[6]。
本实验发现CXCR5主要分布于上皮形态细胞,CXCL13主要分布于间质细胞中,这与Bürkle等[7]报道一致,他们通过原位杂交的方式在慢性B细胞性白血病患者受累淋巴结中发现CXCL13mRNA位于巨噬细胞中,而CXCR5表达于肿瘤细胞中。这表明,CXCR5和CXCL13在结直肠癌发生发展中可能存在相互调控,同时也表明,CXCR5/CXCL13轴可能是肿瘤相关的巨噬细胞和肿瘤细胞之间相互作用的一个途径。而Meijer等[8]报道无论是体内还是体外巨噬细胞都可以诱导小鼠结肠癌细胞系CT26表达CXCR5,与本研究结果相符。
肿瘤的浸润和转移是多因素、多步骤参与的复杂过程,其中肿瘤周围细胞外基质的降解是肿瘤侵袭和转移的关键步骤,基质的降解是由蛋白水解酶的作用所引起。MMPs失调可加速基质屏障的降解,或间接通过释放与基质相关的生长因子来促进肿瘤的生长、侵袭和转移。此外,MMPs还在调节肿瘤血管生成、细胞生长等方面扮演着重要的角色。MMP-12属于MMPs中基质降解素类,命名为巨噬细胞弹性蛋白酶,MMP-12基因定位于染色体11p22.3。MMP-13从人类乳腺癌细胞中分离出来[9],MMP-13基因定位于染色体11q22~23。MMP-13位于MMPs级联反应的中心位置,它能激活多种MMPs,在MMPs激活过程中起关键作用[10]。
肿瘤细胞自身具有分泌MMPs的功能,这是其对细胞外基质降解的必备条件。VAN Nguyen等[11]报道结直肠癌组织中存在着MMP-12和MMP-13基因多态性差异,提示MMP-12和MMP-13参与结直肠癌形成过程,与我们的结果相符。
Razis等[12]检测了早期乳腺癌中CXCR5、CXCL13的表达,发现在雌激素水平较低、分级较差以及有腋窝淋巴结转移的乳腺癌患者组织中CXCR5和CXCL13表达较高,说明CXCR5-CXCL13在肿瘤转移、侵袭中具有重要作用。CXCL13主要分布在肝脏(占近50%)、淋巴结等组织中,而结直肠癌主要的转移靶器官就是淋巴结和肝脏。这表明CXCR5/CXCL13在结直肠癌转移过程中扮演着极其重要的角色。本研究发现,少量肿瘤间质细胞、微血管内皮细胞表达MMP-12和MMP-13,说明部分肿瘤间质细胞、微血管内皮细胞可分泌MMP-12和MMP-13,加促基质的降解,促进肿瘤侵袭转移;进一说明肿瘤的侵袭转移是在肿瘤细胞与间质相互诱导、共同作用下完成的。Rath等[13]发现加入MMP-13抑制剂会大幅度降低结直肠癌细胞株 LS174侵袭性。CXCR5和CXCL13与MMP-12和MMP-13表达均有相关性,说明结直肠癌细胞CXCR5和CXCL13对MMP-12和MMP-13的合成可能有促进作用,进一步加强肿瘤细胞外基质降解,促进肿瘤的浸润转移。同时MMP-13可以启动MMPs的级联反应或者启动血管生成,并通过肿瘤血管向宿主输出大量的恶性肿瘤细胞,引起肿瘤持续生长并发生浸润及远处转移。
本研究结果表明,结直肠癌患者组中CXCR5/CXCL13轴可通过调节MMP-12和MMP-13的表达促进结直肠癌的发生、发展和转移、复发,提示CXCR5/CXCL13轴、MMP-12和MMP-13在结直肠癌组织中的表达可成为结直肠癌预后不良的因素之一,为结直肠癌患者靶向治疗提供新的靶点。
| [1] | Siegel R, Naishadham D, Jemal A. Cancer statistics, 2013[J]. CACancer J Clin, 2013, 63(1): 11-30. |
| [2] | Markowitz SD, Dawson DM, Willis J, et al. Focus on coloncancer[J]. Cancer Cell, 2002, 1(3): 233-6. |
| [3] | Labianca R, Nordlinger B, Beretta GD, et al. Primary coloncancer: ESMO Clinical Practice Guidelines for diagnosis, adjuvanttreatment and follow-up[J]. Ann Oncol, 2010, 21 Suppl 5: v70-7. |
| [4] | Franciszkiewicz K, Boissonnas A, Boutet M, et al. Role ofchemokines and chemokine receptors in shaping the effectorphase of the antitumor immune response[J]. Cancer Res, 2012,72(24): 6325-32. |
| [5] | Kataoka H, Tanaka H, Nagaike K, et al. Role of cancer cell-stromainteraction in invasive growth of cancer cells[J]. Hum Cell, 2003,16(1): 1-14. |
| [6] | Müller G, H?pken UE, Lipp M. The impact of CCR7 and CXCR5on lymphoid organ development and systemic immunity[J].Immunol Rev, 2003, 195: 117-35. |
| [7] | Bürkle A, Niedermeier M,Schmitt-Gr?ff A, et al. Overexpression ofthe CXCR5 chemokine receptor, and its ligand, CXCL13 in B-cellchronic lymphocytic leukemia[J]. Blood, 2007, 110(9): 3316-25. |
| [8] | Meijer J, Zeelenberg IS, Sipos B, et al. The CXCR5 chemokinereceptor is expressed by carcinoma cells and promotes growthof colon carcinoma in the liver[J]. Cancer Res, 2006, 66(19):9576-82. |
| [9] | Freije JM, Díez-Itza I, Balbín M, et al. Molecular cloningand expression of collagenase-3, a novel human matrixmetalloproteinase produced by breast carcinomas[J]. J BiolChem,1994, 269(24): 16766-73. |
| [10] | Mori M, Barnard GF, Mimori K, et al. Overpression of matrix metalloproteinase-7 mRNA in human colon carcinomas[J].Cancer, 1995, 75(6 Suppl): 1516-9. |
| [11] | VAN Nguyen S, Skarstedt M, Löfgren S, et al. Gene polymorphismof matrix metalloproteinase-12 and -13 and association withcolorectal cancer in Swedish patients[J]. Anticancer Res, 2013,33(8): 3247-50. |
| [12] | Razis E, Kalogeras KT, Kotoula V, et al. Improved outcome ofhigh-risk early HER2 positive breast cancer with high CXCL13-CXCR5 messenger RNA expression[J]. Clin Breast Cancer, 2012,12(3): 183-93. |
| [13] | Rath T, St?ckle J, Roderfeld M, et al. Matrix metalloproteinase-13 is regulated by toll-like receptor-9 in colorectal cancer cellsand mediates cellular migration[J]. Oncol Lett, 2011, 2(3): 483-8. |
2014, Vol. 42







