文章信息
- 宋易航1,金平2,马艺珲3. 2014.
- SONG Yihang1, JIN Ping2, MA Yihui3. 2014.
- 卵巢上皮性癌中Fascin和Wnt5a的表达及其相关性
- Expression of Fascin and Wnt5a in Epithelial Ovarian Cancer and Their Correlation
- 肿瘤防治研究, 2014, 41(10): 1107-1110
- Cancer Research on Prevention and Treatment, 2014, 41 (10): 1107-1110
- http://www.zlfzyj.com/CN/10.3971/j.issn.1000-8578.2014.10.011
-
文章历史
- 收稿日期:2014-01-06
- 修回日期:2014-03-20
卵巢上皮性癌已严重威胁妇女的生命和健 康。分析其发生、发展的分子机制,从基因角度 着手的早期诊断和治疗至关重要。有研究显示 Fascin与Wnt5a分别表达于卵巢癌组织中,Fascin 蛋白的表达可能受Wnt途径的调节,与钙黏蛋白 (E-cadherin)利用相似的结合位点与连环蛋白 (β-catenin)结合,参与调节细胞骨架的动力学系 统,而Wnt5a对β-catenin途径存在拮抗作用[1, 2],但 两者在卵巢癌中表达的相关性尚未揭示,本研究旨 在探讨两者的表达与卵巢上皮性癌的关系以及两者 表达的相关性,并分析其可能存在的分子机制。 1 资料与方法 1.1 研究对象
收集兰州大学第一医院病理科2008年1月至 2011年11月手术患者的存档蜡块共133例,其中 正常卵巢组织20例,卵巢良性肿瘤组织16例(浆 液性乳头状囊腺瘤8例,黏液性乳头状囊腺瘤8例),卵巢交界性肿瘤18例,卵巢上皮性癌组织 79例。在卵巢上皮性癌组中,患者年龄27~73岁, 中位年龄48岁;组织学分级:G1级13例,G2级29 例,G3级37例;临床分期(2000年FIGO分期): Ⅰ期15例,Ⅱ期21例,Ⅲ期29例,Ⅳ期14例;组 织学类型:浆液性癌50例,黏液性癌23例,子宫 内膜样腺癌4例,透明细胞癌2例;有淋巴结转移 者41例,无淋巴结转移者38例。所有卵巢上皮性 癌患者均为初发,术前均未接受过放疗、化疗, 标本均经4%甲醛固定,常规石蜡包埋,4 μm连续 切片,HE染色后经资深病理学医师重新在光学显 微镜下观察确诊。 1.2 主要试剂
鼠抗人Fascin单克隆抗体购自美国Santa Cruz 公司,鼠抗人Wnt5a单克隆抗体购自英国Abcam公 司,PV-9000试剂盒和二氨基联苯胺(DAB)显色 剂购自北京中杉金桥生物技术有限公司。 1.3 免疫组织化学染色
采用免疫组织化学两步法进行染色,操作按 试剂盒说明书进行,采用DAB显色后进行苏木精 对比染色。Fascin阳性对照采用微血管内皮细胞作 为内对照,Wnt5a阳性对照用甲状腺乳头状癌切片 作阳性对照。阴性对照用PBS代替一抗进行。 1.4 结果判定
免疫组织化学显色判断:Fascin蛋白[3]、Wnt5a 蛋白[4]于胞质着色,呈棕黄色颗粒。在高倍视野 下(×40)进行显色评分。评分根据着色细胞百 分率计分:细胞质无染色为0分,≤25%为1分, 26%~50%为2分,51%~75%为3分,>75%为4分; 根据染色强度记分:细胞质染色为淡黄色为1分, 棕黄色为2分,棕褐色为3分。每个病例观察10个 高倍视野,每项得分各取其平均值,总评分为两 项相加的和。最后总得分为:阴性(-):<2 分,阳性:2~7分;低表达(+):2分,中等表达 (++):3~4分,高表达(+++):5~7分。 1.5 统计学方法
采用SPSS19.0软件对数据进行统计分析。 Fascin、Wnt5a的表达与卵巢上皮性癌临床病理学 参数之间的关系采用χ2检验,两者关联密切程度采 用Spearman秩相关分析,并用相关系数r值衡量。 水准α=0.05,P<0.05认为差异有统计学意义。 2 结果 2.1 Fascin和Wnt5a在卵巢上皮性癌中的表达
20例正常卵巢组织中Fascin蛋白均呈阴性表达;16例卵巢良性肿瘤中,6例Fascin蛋白呈阳性 表达(37.5%);18例卵巢交界性肿瘤中,10例 Fascin蛋白呈阳性表达(55.6%);79例卵巢上皮 性癌中,60例Fascin蛋白呈阳性表达(76%)。其 中正常组与良性肿瘤组(χ2=9.0000,P=0.003)、 正常组与交界性肿瘤组(χ2=15.079,P= 0.000)、 正常组与上皮性癌组(χ2=38.559,P=0.0000)、 良性肿瘤组与上皮性癌组(χ2=9.275,P=0.002) 比较差异具有统计学意义;良性肿瘤组与交界性 肿瘤组、交界性肿瘤组与上皮性癌组比较差异均 无统计学意义(P>0.05)。
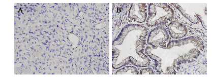
Wnt5a蛋白于20例正常卵巢组织中阳性表达 14例(70%);16例卵巢良性肿瘤中阳性表达11 例(68.75%);18例卵巢交界性肿瘤中阳性表达 9例(50%);79例卵巢上皮性癌中阳性表达35例 (44.3%)。其中正常组与上皮性癌组(χ2=4.216, P=0.04)、良性肿瘤组与上皮性癌组(χ2=4.184, P=0.047)比较差异具有统计学意义;正常组与良 性肿瘤组、正常组与交界性肿瘤组、良性肿瘤组与 交界性肿瘤组、交界性肿瘤与上皮性癌组比较差异 无统计学意义(P>0.05)。Fascin与Wnt5a在卵巢 上皮组织中的表达见图 1、2。
|
| 图 1 Fascin在正常卵巢上皮性组织(A)和卵巢黏液性囊腺 癌组织(B)中的表达 (× 400) Figure 1 Expression of Fascin in normal ovarian epithelial tissues(A) and ovarian mucinous adenocarcinoma(B) (× 400) |
|
| 图 2 Wnt5a在正常卵巢上皮组织(A)和卵巢透明细胞癌组 织(B)中的表达 (× 400) Figure 2 Expression of Wnt5a in normal ovarian epithelial tissue(A) and ovarian clear cell carcinoma(B) (× 400) |
Fascin的表达在不同组织病理分级组、不同临 床分期组、有无淋巴结转移组相比较,差异均有统 计学意义(P<0.05);在不同年龄组以及组织学分型相比较,差异均无统计学意义(P>0.05)。 Wnt5a的表达在不同组织病理分级组、不同临床分 期组和有无淋巴结转移组相比较,差异均有统计学 意义(P<0.05);在不同年龄组与组织学分型相 比较,差异均无统计学意义(P>0.05),见表 1。
![]() |
经Spearman秩相关分析,Fascin和Wnt5a在卵 巢上皮性癌中的表达呈负相关,见表 2。
![]() |
本实验中,Fascin蛋白在正常卵巢组织、卵巢 良性肿瘤、卵巢交界性肿瘤和卵巢上皮性癌中表 达依次升高,提示Fascin蛋白可能与卵巢上皮性癌 发生有关。Kabukcuoglu等[5, 6]研究发现,Fascin在 卵巢上皮癌组间质的表达高于交界性上皮肿瘤、 囊腺瘤和正常卵巢组织。也有研究显示,Fascin 在正常卵巢上皮不表达,在卵巢交界性和浆液性癌 中Fascin的表达明显高于良性浆液性囊腺瘤,且Fascin的上调对增加卵巢浆液性恶性肿瘤的侵袭性 有重要作用[7]。
近期研究表明Fascin在卵巢癌组织中的表达与 组织分化、TNM分期、临床预后等因素相关[8, 9]。 本研究结果显示Fascin蛋白在卵巢上皮性癌中的 表达与组织病理分级、临床分期、淋巴结转移相 关,与年龄、组织学分型无关。Fascin蛋白在G3 级表达率高于G1级,同时Ⅲ~Ⅳ临床分期组的表 达率高于在Ⅰ~Ⅱ期组的表达率,提示Fascin蛋白 阳性的卵巢癌患者其临床预后可能较差。淋巴结 转移组Fascin的表达率为90.2%,高于无转移组的 60.5%,提示Fascin表达水平与淋巴结转移及患者 预后不良相关,Fascin表达阳性的卵巢癌细胞可能 具有更强的侵袭性和转移能力。Fascin可能通过 与F-actin(F-肌动蛋白)结合,使细胞膜表面突起增 多,进而通过改变细胞骨架、细胞与细胞、细胞 与细胞外基质的黏附等因素而促进卵巢癌细胞转 移[10, 11]。
本实验观察到Wnt5a蛋白在正常卵巢组织、卵 巢良性肿瘤、卵巢交界性肿瘤和卵巢上皮性癌中 的表达依次降低,提示Wnt5a蛋白的低表达可能与 卵巢上皮性癌的发生过程有关。同时观察到Wnt5a 蛋白在卵巢上皮性癌中的表达与组织病理分级、临 床分期、淋巴结转移相关,与年龄、组织学分型无 关。Wnt5a蛋白在卵巢上皮性癌中的表达随着组织病理分级的增高而表达率降低;Ⅰ~Ⅱ临床分期组 的表达率高于Ⅲ~Ⅳ期组的表达率;无淋巴结转移 组的表达率高于淋巴结转移组的表达率,以上结果 提示Wnt5a蛋白阳性的卵巢癌患者其临床预后可能 较好。Benjamind等[12]研究也支持本结论。
Fascin在恶性肿瘤表达上调可能具有普遍性, 但其详细的分子机制尚不明确,可能涉及到多个 作用途径,其中Khurana等[13, 14]认为Fascin蛋白的 表达可能受Wnt途径的调节,Fascin和钙黏蛋白 (E-cadherin)利用相似的结合位点与连环蛋白 (β-catenin)结合,共定位于细胞-细胞边界和动态 细胞的前缘,参与调解细胞骨架的动力学系统。由 此推测Fascin蛋白可能通过上述作用机制参与了卵 巢组织的恶性转化,并提高其侵袭转移的潜能。 作为Wnt家族的重要成员之一Wnt5a,有研究显示 Wnt5a对β-catenin途径存在拮抗作用,敲除Wnt5a基 因的小鼠,β-catenin途径的作用是增强的[1, 2]。Wnt5a 可能通过激活丝氨酸/苏氨酸蛋白激酶(Serine/ threonine protein kinase NLK)和酪氨酸激酶样孤 儿受体(Ror2)从而抑制β-catenin途径下游基因 的表达[15, 16, 17]。其次,Wnt5a可以诱导E3泛素蛋白连 接酶(Siah2)的表达,Siah2又与β-catenin的降解 有关[2]。本研究中,Fascin和Wnt5a两者在卵巢上 皮性癌中的表达呈负相关,且两者都与组织病理 学分级、临床分期、淋巴结转移相关。推测Wnt5a 在正常卵巢组织中发挥抑制Wnt/β-catenin通路的 作用,促进β-catenin的降解,从而抑制了Fascin与 β-catenin结合,而在卵巢上皮性癌中Wnt5a表达 降低,不能发挥抑制Wnt/β-catenin通路的作用。 Fascin与β-catenin结合,在一定程度上促进了癌症 的发生,提高其侵袭转移的潜能。可见,Fascin和 Wnt5a可能在卵巢上皮性癌的发生、发展及淋巴结 转移过程中发挥重要的作用。
| [1] | Miller MF, Cohen ED, Baggs JE, et al. Wnt ligands signal in a cooperative manner to promote foregut organogenesis[J]. Proc Natl Acad Sci U S A,2012,109(38):15348-53. |
| [2] | Kamino M, Kishida M, Kibe T, et al. Wnt-5a signaling is correlated with infiltrative activity in human glioma by inducing cellular migration and MMP-2[J]. Cancer Sci, 2011, 102(3): 540-8. |
| [3] | Hashimoto Y, Skacel M, Lavery IC, et al. Prognostic significance of fascin expression in advanced colorectal cancer: an immunohistochemical study of colorectal adenomas and adenocarcinomas[J]. BMC Cancer, 2006, 6: 241. |
| [4] | Dejmek J, Dejmek A, Safholm A, et al. Wnt-5a protein expression in primary dukes B colon cancers identifies a subgroup of patients with good prognosis[J]. Cancer Res, 2005, 65(20): 9142-6. |
| [5] | Kabukcuoglu S, Ozalp SS, Oner U, et al. Actin bundling protein fascin expression in ovarian neoplasms: comparison of histopathologic features of tumors obtained by the first and secondary cytoreduction surgeries[J]. Eur J Gynaecol Oncol, 2006, 27(2): 123-8. |
| [6] | Zheng QL,Feng YZ,Gu DH,et al. Expression and clinical significance of fascin protein in serous ovarian tumors[J].Jiangsu Yi Yao, 2012, 38(6): 699-702. [郑庆玲, 冯一中, 顾栋桦, 等. Fascin 在卵巢浆液性肿瘤中的表达及其临床意义[J]. 江苏医 药, 2012, 38(6): 699-702.] |
| [7] | Wen YH, Yee H, Goswami S, et al. Fascin expression in serous tumors of ovary correlates with aggressiveness of malignancy[J]. Int J Gynecol Pathol, 2009, 28(2):187-92. |
| [8] | Daponte A, Kostopoulou E, Papandreou CN, et al. Prognostic significance of fascin expression in advanced poorly differentiated serous ovarian cancer[J]. Anticancer Res, 2008, 28(3B):1905-10. |
| [9] | Hu W, McCrea PD, Deavers M, et al. Increased expression of fascin, motility associated protein, in cell cultures derived from ovarian cancer and in borderline and carcinomatous ovarian tumors[J]. Clin Exp Metastasis, 2000, 18(1): 83-8. |
| [10] | Darnel AD, Behmoaram E, Vollmer RT, et al. Fascin regulates prostate cancer cell invasion and is associated with metastasis and biochemical failure in prostate cancer[J]. Clin Cancer Res, 2009, 15(4):1376-83. |
| [11] | Hashimoto Y, Parsons M, Adams JC. Dual actin-bundling and protein kinase C-binding activities of fascin regulate carcinoma cell migration downstream of Rac and contribute to metastasis[J]. Mol Biol Cell, 2007, 18(11): 4591-602. |
| [12] | Bitler BG, Nicodemus JP, Li H, et al. Wnt5a suppresses epithelial ovarian cancer by promotingcellular senescence[J]. Cancer Res, 2011,71(19): 6184-94. |
| [13] | Khurana S, George SP. The role of actin bundling proteins in the assembly of filopodia in epithelial cells[J]. Cell Adh Migr, 2011, 5(5): 409-20. |
| [14] | Machesky LM, Li A. Fascin: invasive filopodia promoting metastasis[J]. Commun Integr Biol, 2010, 3(3): 263-70. |
| [15] | Sato A, Yamamoto H, Sakane H, et al. Wnt5a regulates distinct signalling pathways by binding to Frizzled2[J]. EMBO J, 2010, 29(1): 41-54. |
| [16] | Lee JM, Kim IS, Kim H, et al.RORalpha attenuates Wnt/betacatenin signaling by PKCalpha-dependent phosphorylation in colon cancer[J]. Mol Cell, 2010, 37(2): 183-95. |
| [17] | Nishita M, Enomoto M, Yamagata K, et al. Cell/tissue-tropic functions of Wnt5a signaling in normal and cancer cells[J]. Trends Cell Biol, 2010, 20(6): 346-54. |
2014, Vol. 41




