高级搜索

高级别肉瘤患者肺部不确定性质结节胸部CT影像学特征与转归:一项单中心回顾性研究

Chest CT Imaging Features of Indeterminate Pulmonary Nodules and Outcomes in Patients with High-grade Soft Tissue Sarcoma: A Single-center Retrospective Study

  • 摘要:
    目的 分析肺部高级别软组织肉瘤患者肺部不确定性质结节(IPN)的影像学特征与转归。
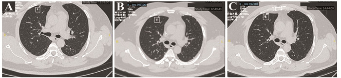
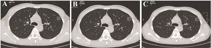
    方法 回顾性分析82例伴IPN的高级别肉瘤患者的临床资料,IPN的CT影像学特征以及转归。
    结果 IPN平均大小6.453±0.864 mm。IPN直径、形状、密度及结节发现间期可能是恶性转归相关的CT影像特征。年龄(HR=1.047, 95%CI: 1.007~1.088)与结节发现间期(HR=3.194, 95%CI: 1.052~9.694)是影响恶性IPN患者生存期的独立因素。
    结论 胸部CT的影像学特征可能为良恶性结节性质和生存预后的判断提供重要指导意义。

     

    Abstract:
    Objective To explore the imaging features, clinical outcome, and prognosis of indeterminate pulmonary nodules (IPN) in patients with high-grade soft tissue sarcoma.
    Methods A retrospective study of 82 patients with high-grade soft tissue sarcoma who have IPNs. The clinical characteristics, imaging features of IPN, and survival of patients were analyzed with statistical software.
    Results The IPN size of 82 patients was 6.453±0.864 mm. IPN diameter, shape, density, and nodule discovery interval may be CT imaging features related to malignancy tendency. Age (HR=1.047, 95%CI: 1.007-1.088) and interval between each nodule discovery (HR=3.194, 95%CI: 1.052-9.694) are independent factors that affect the survival of patients with malignant IPN.
    Conclusion The imaging features of chest CT may provide important guidance for determining the nature and survival prognosis of benign and malignant nodules.

     

/

返回文章
返回