Abstract:
Objective To investigate the expression and clinical significance of S100A14 and LOXL2 in papillary thyroid carcinoma tissues.
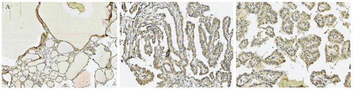
Methods Paraffin blocks from 90 cases of thyroid lesion were collected to make tissue microarray. The expression of S100A14 and LOXL2 in 30 cases of nodular goiter (NG), 30 cases of classic papillary thyroid carcinoma (CPTC) and 30 cases of high invasion papillary thyroid carcinoma were detected by immunohistochemistry. The correlation of S100A14 and LOXL2 expression with the clinicopathological characteristics of papillary thyroid carcinoma patients was investigated.
Results S100A4 and LOXL2 were highly expressed in papillary thyroid carcinoma. There was a gradually increasing trend from the expression in NG group, CPTC group to high invasive group. The positive rate of S100A14 in papillary thyroid carcinoma with lymph node metastasis was higher than that without lymph node metastasis (P < 0.05). There was significant difference of S100A14 and LOXL2 expression between CPTC group and high invasion group (P < 0.05). S100A14 expression was positively correlated with LOXL2 expression (r=0.332).
Conclusion The high expression of S100A14 and LOXL2 may be related to the malignant biological behavior and invasiveness of papillary thyroid carcinoma, and S100A14 may promote lymph node metastasis.