高级搜索

模板辅助192Ir源大分割立体近距离放射消融术治疗周围型肺癌的剂量学研究

Dosimetric Analysis of Template-assisted 192Ir-source Hypofractionated Stereotactic Ablative Brachytherapy for Peripheral Lung Cancer

  • 摘要:
    目的 探讨模板辅助192Ir源大分割立体近距离放射消融术(SABT)治疗周围型肺癌的剂量。
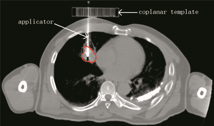
    方法 回顾性分析28例接受模板辅助192Ir源大分割SABT治疗周围型肺癌患者的靶区与危及器官剂量,制作虚拟立体定向放射治疗(SBRT)计划与SABT计划进行剂量参数对比。
    结果 SABT计划肿瘤靶区Dmean和V150明显高于SBRT计划(均P < 0.01);危及器官(organ at risk, OAR)肺D1000cm3和D1500cm3差异无统计学意义(均P > 0.05),SABT剩余剂量参数均明显低于SBRT计划(均P < 0.01)。
    结论 在周围型肺癌治疗中模板辅助192Ir源大分割SABT确保靶区高剂量同时降低危及器官剂量。

     

    Abstract:
    Objective To explore the dose of template-assisted 192Ir source hypofractionated stereotactic brachytherapy (SABT) for peripheral lung cancer.
    Methods We retrospectively analyzed the dose parameters of GTV and OARs of 28 peripheral lung cancer patients treated with template-assisted 192Ir-source hypofractionated SABT, and compared the dose parameters between SABT with virtual SBRT.
    Results The Dmean and V150 for the GTV in the SABT plan were significantly higher than those in the SBRT plan (all P < 0.01). For OARs, all dosimetric parameters in the SABT plan were significantly lower than those in the SBRT plan (all P < 0.01), except for the D1000cm3 and D1500cm3 for the lung (P > 0.05).
    Conclusion Template-assisted 192Ir source hypofractionated SABT ensures high dose in the gross tumor volume and reduces the dose in organs at risk in the treatment of peripheral lung cancer.

     

/

返回文章
返回