高级搜索

568例HER2不确定乳腺癌原位杂交结果分析

In Situ Hybridization Status of 568 Cases of HER2 Equivocal Breast Cancer

  • 摘要:
    目的 比较2013版及2018版美国临床肿瘤学会/美国病理医师学院(ASCO/CAP)乳腺癌HER2检测指南,对免疫组织化学HER2不确定(2+)乳腺癌FISH判读结果的影响及其临床意义。通过与FISH对比,分析DISH的准确性及存在问题。
    方法 选取568例免疫组织化学HER2不确定浸润性乳腺癌石蜡包埋标本,使用FISH技术进行HER2基因状态检测,分别采用2013及2018版ASCO/CAP乳腺癌HER2检测指南进行结果判读。随机选取60例样本进行DISH检测,并与FISH对比分析。
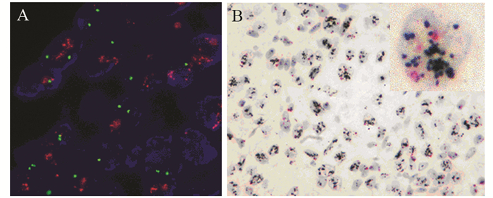
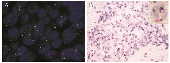
    结果 依据2013版指南,HER2阳性183例(32.22%)、阴性365例(64.26%)、不确定20例(3.52%)。采用新指南判读标准,HER2阳性率减少了4.58%,阴性率无差别,两种判读标准差异具有统计学意义(P < 0.01)。对60例肿瘤样本的FISH和DISH检测结果比较,两者总符合率为95.0%,阳性符合率为94.7%;阴性符合率为100%,两种方法的检测结果显著相关(r=0.636, P < 0.01)。
    结论 2018版ASCO/CAP HER2检测指南与2013版相比,判读标准更明确、分类更精细,对临床用药更具指导作用。DISH技术具有亮视野的优点,与FISH有同样的临床诊断价值。

     

    Abstract:
    Objective To compare the differences between 2013 and 2018 ASCO/CAP HER2 testing guidelines in 568 immunohistochemical HER2 equivocal breast cancer patients and to analyze the accuracy and deficiency of dual-color silver enhanced in-situ hybridization (DISH) by comparing with FISH.
    Methods We selected 568 cases of paraffin-embedded invasive breast cancer specimen which were proved as HER2 equivocal by immunohistochemical (IHC). The HER2 gene amplification status was evaluated by FISH and comparatively analyzed according to both the 2013 and 2018 ASCO/CAP HER2 Testing guidelines respectively. Sixty specimens were randomly selected for DISH detection and compared with FISH.
    Results According to the 2013 guideline, the number of HER2 positive, negative and equivocal cases were 183 (32.22%), 365 (64.26%) and 20 (53.52%), respectively. Compared with the 2013 guideline, HER2 positive rate decreased by 4.58% according to the revised 2018 guideline, and the negative rates were same; the difference of positive rates was statistically significant (P < 0.01). Comparison between FISH and DISH findings in 60 samples, the total, positive and negative coincidence rates were 95.0%, 94.7% and 100%, and the results of the two methods are significantly correlated (r=0.636, P < 0.01).
    Conclusion Compared with 2013 ASCO/CAP guideline, the revised 2018 guidelines is more accurate and instructive for clinical medication. DISH could achieve similar precise results as compared to FISH. Bright field detection is the irreplaceable advantage of DISH.

     

/

返回文章
返回