高级搜索

shRNA干扰半胱氨酸蛋白酶抑制剂C抑制非小细胞肺癌A549细胞侵袭和迁移

shRNA Interferes with Cystatin C to Inhibit Invasion and Migration of Non-small Cell Lung Cancer A549 Cells

  • 摘要:
    目的 研究半胱氨酸蛋白酶抑制剂C(cystatin C, Cys C)表达对NSCLC A549细胞的生长、侵袭和转移的作用及其潜在的分子机制。
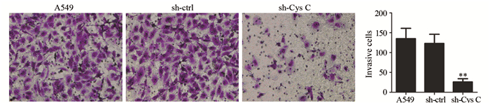
    方法 采用短发夹RNA(sh-RNA)干扰沉默Cys C表达, 构建sh-Cys C载体, 并转染人肺腺癌A549细胞中, 筛选sh-Cys C稳转子。用CCK-8法检测细胞增殖; 划痕实验检测细胞迁移; Transwell实验检测细胞侵袭。此外, 还采用Western blot检测侵袭和迁移关键蛋白表达的变化。
    结果 shRNA干扰Cys C, 明显下调Cys C的表达; 与对照组相比, 发现shRNA介导的Cys C沉默显著抑制A549细胞体外增殖、迁移和侵袭。此外, 还发现Cys C的下调可以显著抑制基质金属蛋白酶(MMP9、MMP14)和血管内皮生长因子(VEGF)的表达。
    结论 shRNA干扰半胱氨酸蛋白酶抑制剂C, 明显下调Cys C的表达, Cys C的下调可抑制非小细胞肺癌A549细胞的侵袭和迁移。

     

    Abstract:
    Objective To investigate the effect of Cystatin C (Cys C) expression on the growth, invasion and metastasis of NSCLC A549 cells and its potential molecular mechanism.
    Methods sh-Cys C vector was constructed using short hairpin RNA (sh-RNA) to knock down Cys C expression, and transfected into human lung adenocarcinoma A549 cells. sh-Cys C stably expressional cell line was screened. Cell proliferation was detected by CCK-8. Cell migration was detected by wound healing test. Cell invasion was detected by Transwell assay. In addition, Western blot analysis was used to detect the expression changes of key proteins in invasion and migration.
    Results shRNA interfered with Cys C and significantly decreased the expression of Cys C. Compared with the control group, shRNA-mediated Cys C silencing significantly inhibited the proliferation, migration and invasion of A549 in vitro. In addition, the downregulation of Cys C could significantly inhibit the expression of matrix metalloproteinase (MMP9, MMP14) and vascular endothelial growth factor (VEGF).
    Conclusion shRNA interferes with Cys C and significantly down-regulates the expression of Cys C, which could inhibit the invasion and migration of A549 cells.

     

/

返回文章
返回