高级搜索

人乳腺癌相关成纤维原代细胞培养的改良方法

An Modified Primary Culture Method of Breast Cancer-associated Fibroblasts

  • 摘要:
    目的 通过对常见的人乳腺癌相关成纤维细胞(BCAFs)原代培养方法进行改良,建立一种快速高效的BCAFs原代培养方法。
    方法 取确诊为浸润性乳腺癌患者的癌组织标本,每个标本随机分成大小、质量相同的改良组和传统组,改良组用改良酶消化法(Ⅱ型胶原酶+透明质酸酶消化10 min)消化,传统组用传统酶消化法(Ⅰ型胶原酶消化8 h)消化。通过细胞计数、MTT和免疫荧光法比较两组消化方法获得的细胞总数、培养48 h后贴壁细胞的活性及BCAFs的纯度并在倒置显微镜下观察BCAFs原代细胞特征。
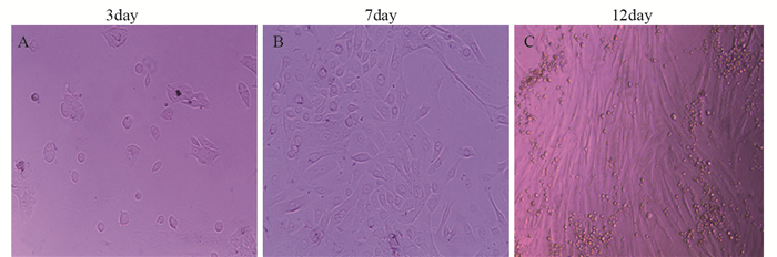
    结果 改良酶消化法获得的细胞量、48 h贴壁细胞的活性和细胞纯度均高于传统酶消化法(P < 0.001)。获得的BCAFs原代细胞呈纺锤体形或长梭形,胞质内颗粒较多,细胞排列不规则。
    结论 本研究成功建立了一种高效快速的BCAFs原代培养的方法,为后期探究其在乳腺癌中的功能研究建立基础。

     

    Abstract:
    Objective To establish a rapid and high efficient method of primary culture of BCAFs by improving primary culture methods of common breast cancer-associated fibroblasts (BCAFs).
    Methods We took cancerous tissue samples from the patients diagnosed as invasive breast cancer. All samples were randomly divided into two groups: the modified group and the conventional group with same size and quality. The modified group was digested with a modified enzyme digestion method (typeⅡcollagenase+hyaluronidase digestion for 10 min). The conventional group was digested with conventional enzymatic digestion method (typeⅠcollagenase digestion for 8h). The total number of cells obtained, the activity of adherent cells after 48h culture and the purity of BCAFs between two groups were compared by cell counting, MTT and immunofluorescence. The characteristics of primary BCAFs were observed under inverted microscope.
    Results The amount of cells, the activity of adherent cells after 48h culture and cells purity obtained by the modified enzyme digestion method were all higher than those by the conventional enzyme digestion method (P < 0.001). The primary BCAFs obtained were spindle-shaped or spindle-shaped, with many cytoplasmic particles and irregular cell arrangement.
    Conclusion A rapid and high efficient primary culture method of BCAFs is established successfully, as the foundation for the later study of its function in breast cancer.

     

/

返回文章
返回