高级搜索

TOPⅡα、TP53和HER2在胃腺癌中的表达及其临床意义

Expression of TOPⅡα, TP53 and HER2 in Gastric Adenocarcinoma and Their Clinical Significance

  • 摘要:
    目的 检测胃腺癌组织中TOPⅡα、TP53和HER2的表达,探讨其表达的相关性及与胃腺癌患者临床病理特征的关系。
    方法 免疫组织化学法检测136例胃腺癌及20例正常胃黏膜石蜡标本中TOPⅡα、TP53和HER2蛋白的表达,SPSS20.0软件分析三者之间的相关性及与胃腺癌患者临床病理特征的关系。
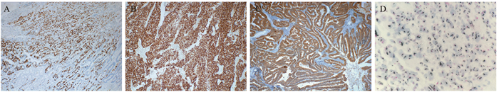
    结果 (1)136例胃腺癌标本中,TOPⅡα和TP53的阳性表达率分别是47.1%(64/136)和65.4%(89/136),HER2阳性扩增率为23.5%(32/136);(2)TOPⅡα和P53的表达均与胃腺癌分化程度及Lauren分型显著相关(P < 0.05),HER2的阳性扩增与肿瘤的分化、Lauren分型以及临床TNM分期显著相关(P < 0.05);(3)TP53同TOPⅡα及HER2均有显著相关性(r=0.326, P=0.000; r=0.212, P=0.012)。
    结论 联合检测胃腺癌组织中TOPⅡα、TP53和HER2蛋白表达有利于评估胃腺癌的生物学特性和预测患者的预后。

     

    Abstract:
    Objective To detect the expression of TOPⅡα, TP53 and HER2 in gastric adenocarcinoma tissuses, and to explore their inner relationship as well as their relationship with the clinicopathological characteristics of gastric adenocarcinoma patients.
    Methods Immunohistochemical method was used to detect the expression of TOPⅡα, TP53 and HER2 in 136 cases of gastric adenocarcinoma and 20 cases of normal gastric mucosa tissues. The correlation among the three biomarkers and their relationships with the clinicopathological characteristics were analyzed by SPSS20.0 software.
    Results (1) The positive expression rates of TOPⅡα and TP53 in 136 cases of gastric adenocarcinoma specimens were 47.1%(64/136) and 65.4%(89/136), respectively. HER2 positive amplification rate was 23.5% (32/136); (2) The expression of TOPⅡα and TP53 were correlated significantly with the differentiation and Lauren types of gastric adenocarcinoma(P < 0.05). HER2 positive amplification was significantly correlated with tumor differentiation, Lauren types and clinical TNM stage (P < 0.05); (3) The expressions of TP53 and TOPⅡα, as well as TP53 and HER2 amplification, were significantly correlated, respectively (r=0.326, P=0.000; r=0.212, P=0.012).
    Conclusion Combined detection of these three biomarkers is helpful for evaluating the biological characteristic of gastric adenocarcinoma and predicting the prognosis of patients.

     

/

返回文章
返回