高级搜索

足细胞标记蛋白在乳腺癌组织中的表达

Expression of Podocalyxin in Breast Cancer Tissues

  • 摘要:
    目的 探讨足细胞标记蛋白(Podocalyxin)在乳腺导管内癌(DCIS)及浸润性导管癌(IDC)中的表达差异及与临床病理学特征及预后的关系。
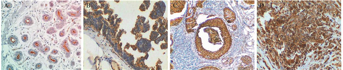
    方法 随机抽取62例DCIS样本(低/中级别DCIS 33例,高级别29例),129例IDC样本,采用免疫组织化学SP法检测两种样本中Podocalyxin的表达。
    结果 在DCIS和IDC中Podocalyxin阳性率分别为35.48%(22/62)和51.94%(67/129),两者差异有统计学意义(P < 0.05)。DCIS中,低/中级别DCIS的Podocalyxin阳性率明显低于高级别(P < 0.05)。IDC中Podocalyxin阳性表达在肿瘤分级、pTNM肿瘤分期和淋巴结转移中差异有统计学意义(P < 0.05)。Kaplan-Meier单因素生存分析显示IDC中Podocalyxin阳性表达等多个因素和IDC患者无瘤生存期的影响具有统计学意义。Cox多因素分析表明Podocalyxin阳性和淋巴结转移是影响预后的独立危险因素。
    结论 Podocalyxin在IDC中表达明显高于DCIS,提示其在乳腺癌的发展及浸润机制中可能发挥重要作用;在IDC中podocalyxin阳性表达与较差的预后密切相关。

     

    Abstract:
    Objective To discuss the difference in podocalyxin expression between ductal carcinoma in situ (DCIS) and invasive ductal carcinoma (IDC), and their relationships with clinicopathological parameters and prognosis of breast cancer.
    Methods Immunohistochemical SP method was applied to detect the expression and location of podocalyxin in the breast tissues of 62 DCIS (33 cases of low/intermediate grade and 29 cases of high grade) and 129 IDC samples.
    Results The expression of podocalyxin in DCIS and IDC were 35.48% (22/62) and 51.94% (67/129) (P < 0.05). It was preferentially expressed in high-grade DCIS, compared with low/intermediate-grade DCIS (P < 0.05). Podocalyxin expression in IDC was associated with tumor grade, pTNM stage and lymph node metastasis in IDC (P < 0.05). Kaplan-Meier univariate analysis revealed positive podocalyxin expression and other factors had significance for disease free survival. Cox model analysis revealed positive podocalyxin expression and lymph nodes metastasis were dangerous independent prognosis factor for IDC.
    Conclusion Podocalyxin expression is significantly higher in IDC than that in DCIS. Podocalyxin could be an important index for the development and invasive of breast cancer. In IDC patients, podocalyxin positive expression is closely associated with poor prognosis.

     

/

返回文章
返回