高级搜索

NDRG2上调PTEN表达抑制乳腺癌细胞迁移的实验

NDRG2 Inhibits Migration of Breast Cancer Cells Through Upregulating PTEN Expression

  • 摘要:
    目的 利用具有相同遗传背景但不同转移能力的乳腺癌细胞模型MCF-7、LM-MCF-7以及MDA-MB-231细胞,研究NDRG2调控乳腺癌细胞迁移的作用及机制。
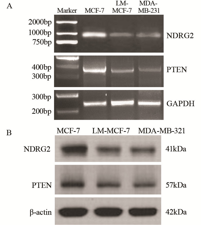
    方法 利用RT-PCR和蛋白免疫印迹法检测MCF-7、LM-MCF-7以及MDA-MB-231细胞中NDRG2和PTEN mRNA和蛋白表达水平;构建pCMV-NDRG2和pCMV-PTEN表达载体以及设计合成NDRG2和PTEN siRNA,通过转染过表达或沉默NDRG2和PTEN表达,Transwell迁移实验检测转染后细胞迁移能力改变,Western blot检测NDRG2和PTEN表达调控关系。
    结果 MCF-7细胞中NDRG2和PTEN mRNA水平和蛋白表达水平显著高于LM-MCF-7和MDA-MB-231细胞(P < 0.05);在LM-MCF-7和MDA-MB-231中上调NDRG2表达可降低细胞迁移能力至13.02%和26.33%(P < 0.01);在MCF-7细胞中沉默NDRG2表达可增强细胞迁移能力至354.62%(P < 0.01);蛋白免疫印迹检测显示PTEN表达受NDRG2调控;沉默(或过表达)NDRG2表达,同时过表达(或沉默)PTEN,MCF-7(或LM-MCF-7)细胞迁移能力未发生显著变化(P > 0.05)。
    结论 乳腺癌细胞中,NDRG2的表达下调,导致PTEN表达下降,解除了对乳腺癌细胞迁移的抑制作用。NDRG2/PTEN信号途径的沉默是乳腺癌细胞获得高迁移能力的重要机制。

     

    Abstract:
    Objective To investigate the effects of N-Myc downstream regulated gene 2 (NDRG2) on the migration of human breast cancer cells by using two parallel cell lines MCF-7 and LM-MCF with different metastatic abilities.
    Methods The expression level of NDRG2 and PTEN in breast cancer cells were detected by RT-PCR and Western blot. The effects of overexpressed or down-regulated NDRG2 on the migration of breast cancer cells were investigated by Transwell migration test. The regulation mechanism between NDRG2 and PTEN on cell migration was detected via co-transfecting breast cancer cells with pCMV-NDRG2 and PTEN siRNA (or NDRG2 siRNA and pCMV-PTEN).
    Results The mRNA and protein expression levels of NDRG2 and PTEN in MCF-7 cells were higher than those in LM-MCF-7/MDA-MB-231 cells (P < 0.05). Overexpressed NDRG2 via transfecting LM-MCF-7 and MDA-MB-231 cells with pCMV-NDRG2 could inhibit cell migration ability to 13.02% and 26.33%(P < 0.01) respectively. Downregulated NDRG2 expression in MCF-7 cells could enhance cell migration ability to 354.62%(P < 0.01). Interestingly, the
    Results of Western blot and Transwell assay revealed that the downregulation of NDRG2 expression resulted in the downregulation of PTEN expression. Co-transfecting LM-MCF-7/MDA-MB-231(or MCF-7) cells with pCMV-NDRG2/PETN siRNA (or pCMV-PTEN/NDRG2 siRNA), the migration ability of cells had no significant changes (P > 0.05).
    Conclusion The downregulation of the expression of NDRG2 could inhibit the expression of PTEN, which lead to the losing control of the migration of breast cancer cells. Downregulating NDRG2/PTEN pathway is a significant mechanism for breast cancer cells acquiring high migration ability.

     

/

返回文章
返回