高级搜索

靶向沉默RNF2基因对食管癌细胞放射敏感度的影响

Effect of Gene Silencing of RNF2 on Radiosensitivity of Esophageal Carcinoma Cells

  • 摘要:
    目的 探讨RNF2基因表达对X射线照射后食管癌细胞放射敏感度的影响。
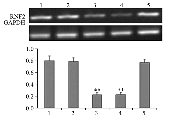
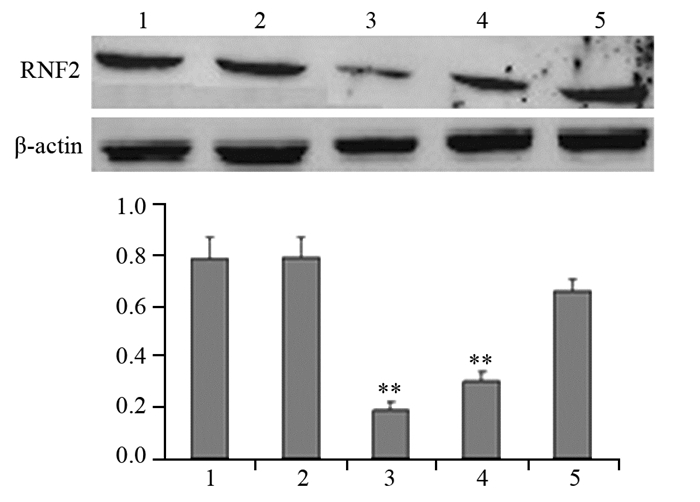
    方法 针对RNF2 mRNA序列,设计合成3对有效的干扰序列(siRNA1、siRNA2和siRNA3)和阴性对照序列。瞬时转染细胞,分别命名为RNF2 siRNA1组、RNF2 siRNA2组、RNF2 siRNA3组,转染空载体组和未转染组分别命名为NC组和control组。RT-PCR和Western blot法观察食管癌ECA109细胞各组中RNF2表达变化。MTT法检测RNF2基因对ECA109增殖能力的影响。克隆形成实验检测RNF2对ECA109放射敏感度的影响。流式细胞术测定RNF2基因干扰后对细胞周期和凋亡分布的影响。
    结果 3对干扰序列组的RNF2基因在mRNA和蛋白表达水平低于control组和NC组,尤以siRNA1组效果最明显。选择siRNA1作为干扰组进行MTT和流式细胞术检测。MTT结果表明照射后干扰组细胞增殖明显受抑;克隆形成实验的结果显示干扰组的的D0、Dq、SF2显著低于control组和NC组,而干扰组的外推数N(extrapolation number N)值明显高于后者,可见干扰组细胞的放射敏感度高于control组和NC组;流式细胞术显示照射后RNF2 siRNA组G0/G1期明显高于control组和NC组,S期显著低于control组和NC组。
    结论 siRNA干扰技术有效地抑制了食管癌ECA109细胞中RNF2基因的表达,联合X线照射后显著抑制了细胞增殖,消除了细胞周期阻滞在S期,增加了食管癌的放射敏感度。

     

    Abstract:
    Objective To investigate the effect of ring finger protein 2(RNF2) gene on the radiosensitivity of esophageal carcinoma cell after X-ray irradiation.
    Methods Three pairs of siRNA(siRNA1, siRNA2, and siRNA3) based on the sequences of the RNF2 mRNA were synthesized to transfect the cultured ECA109 cells as RNF2 siRNA groups, and a negative one was synthesized to be used as negative control(NC) group. The untransfected group was named as control group. The inhibitory effects of siRNA on the transcription and translation of RNF2 gene in esophageal cancer cells ECA109 were detected by RT-PCR and Western blot in different groups. We used flow cytometry assay to analyze cell cycle of the transfected cells, and examined cellular growth and radiosensitivity in vitro by MTT and clone formation assay.
    Results The transcription and translation of RNF2 gene were inhibited after silencing the RNF2 gene. The mRNA and protein expression of RNF2 in RNF2 siRNA1 group were both significantly lower than the other groups. The proliferation of tumor cells in RNF2-siRNA group was obviously inhibited, compared with the other groups after the X-ray radiotherapy. The values of D0, Dq, and SF2 in RNF2 siRNA group were lower obviously than those in control group and NC group, while the value of extrapolation number N in RNF2 siRNA group was markedly higher than those in the latter, which showed higher radiosensitivity in RNF2 siRNA group. The percentage of G0/G1 phase in RNF2 siRNA group was higher than those in control group and NC group, while the percentage of S phase was lower than those in the latter.
    Conclusion siRNA could effectively inhibit RNF2 gene expression in esophageal cancer cells ECA109, suppress the proliferation activity of cells and enhance the radiosensitivity combined with X-ray irradiation, followed by eliminating the cell cycle arrest at S stage after irradiation in vitro.

     

/

返回文章
返回